
Gai gót chân là gì?
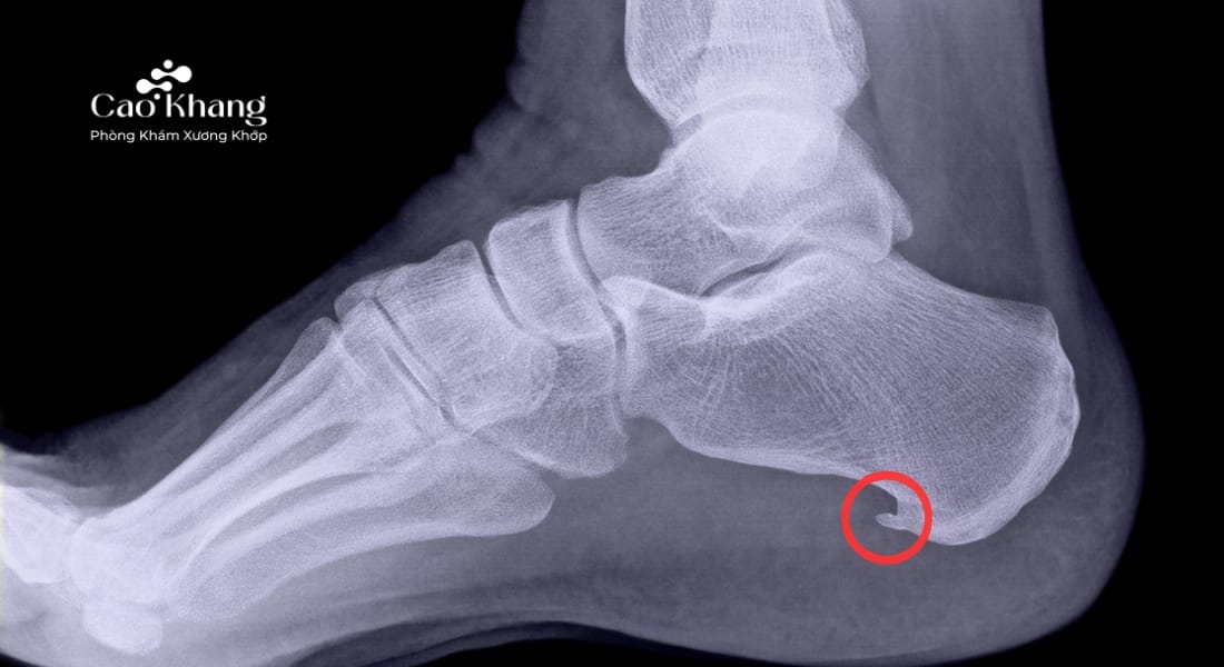
Gai gót chân (hay còn gọi là “gai xương gót”, “calcaneal spur”) là hiện tượng hình thành một mỏm xương nhỏ nhô ra ở mặt dưới xương gót. Mỏm xương này có thể dài từ vài mm đến hơn 1cm, thường có hình dạng giống cái gai nhọn trên phim X-quang. Gai gót chân không phải là một khối u, cũng không phải tổn thương ác tính, mà là hậu quả của quá trình lắng đọng canxi ở vị trí cân gan chân bám vào xương gót.
Nhiều trường hợp phát hiện có gai xương gót nhưng không hề cảm thấy đau đớn. Tuy nhiên, khi mô mềm quanh gai (như cân gan bàn chân) bị viêm, người bệnh sẽ có cảm giác đau nhói, nhất là khi bước đi vào buổi sáng hoặc sau thời gian dài nghỉ ngơi.
Nguyên nhân gây gai gót chân
Phần lớn trường hợp, gai gót chân hình thành do viêm cân gan bàn chân mạn tính. Khi cân gan bàn chân bị kéo căng lặp đi lặp lại (do đứng lâu, đi bộ nhiều, chạy nhảy hoặc tăng cân nhanh), quá trình viêm mạn tính kích thích cơ thể “sửa chữa” bằng cách lắng đọng thêm canxi vào vùng bám cân – lâu dần tạo thành gai xương.
Một số nguyên nhân và yếu tố nguy cơ khác gồm:
- Đứng, đi lại hoặc chạy bộ thường xuyên trên mặt phẳng cứng
- Mang giày dép không phù hợp: Đế quá cứng, mỏng hoặc không nâng đỡ tốt cho gót chân
- Thừa cân, béo phì: Trọng lượng lớn gây áp lực liên tục lên gót
- Lão hóa: Quá trình lão hóa làm giảm tính đàn hồi của cân gan chân, dễ gây viêm mạn tính
- Bàn chân bẹt, cấu trúc bàn chân bất thường: Khiến lực phân bổ không đều lên gót
Triệu chứng gai gót chân thường gặp
Đặc trưng nhất của gai gót chân là đau vùng gót khi bước chân đầu tiên vào buổi sáng hoặc sau khi ngồi lâu. Cảm giác đau có thể:
- Nhói như kim châm hoặc âm ỉ, lan ra cả lòng bàn chân
- Tăng lên khi đứng lâu, đi bộ hoặc chạy nhảy nhiều
- Giảm dần khi đi lại một lúc, nhưng có thể đau lại sau khi vận động kéo dài
- Đôi khi, khi ấn vào gót chân sẽ thấy đau rõ
Các triệu chứng này giúp phân biệt gai gót chân với các bệnh lý khác như viêm gân Achilles, viêm bao hoạt dịch gót hoặc đau do chấn thương trực tiếp.

Gai gót chân có nguy hiểm không?
Gai gót chân không phải bệnh nguy hiểm và đa số trường hợp không dẫn đến biến chứng nghiêm trọng. Tuy nhiên, nếu chủ quan không điều trị, cơn đau kéo dài có thể ảnh hưởng lớn đến sinh hoạt hằng ngày như đi lại, tập luyện, thậm chí cả công việc.
Một số trường hợp hiếm, gai quá lớn hoặc gây viêm lan rộng có thể làm người bệnh thay đổi dáng đi, lâu dài ảnh hưởng đến các khớp khác như cổ chân, gối hoặc cột sống.
Các cách chữa gai gót chân hiệu quả hiện nay
Nghỉ ngơi và thay đổi thói quen sinh hoạt
- Giảm các hoạt động gây áp lực lên gót chân (hạn chế đứng lâu, đi bộ, chạy nhảy).
- Nếu công việc phải đứng nhiều, nên tranh thủ ngồi nghỉ hoặc thay đổi tư thế thường xuyên.
- Tránh đi bộ trên nền cứng trong thời gian dài.
Chườm lạnh và giảm viêm tại chỗ
- Sử dụng túi đá hoặc chai nước lạnh lăn dưới gót chân khoảng 15–20 phút/lần, 2–3 lần/ngày, đặc biệt khi đau tăng sau vận động.
- Chườm lạnh giúp giảm viêm, giảm sưng và giảm cảm giác đau hiệu quả.
Tập các bài giãn cân gan bàn chân và gân Achilles
- Giãn cân gan bàn chân: Ngồi bắt chéo chân, dùng tay kéo các ngón chân về phía thân người, giữ 15–30 giây, lặp lại nhiều lần/ngày.
- Giãn gân Achilles: Đứng đối diện tường, chống tay vào tường, chân đau để ra sau, từ từ hạ thấp gót, giữ 15–30 giây.
- Lăn bóng hoặc chai nước lạnh dưới lòng bàn chân: Lăn qua lăn lại trong 1–2 phút mỗi lần.
Những bài tập này giúp tăng độ linh hoạt cho cân gan chân, giảm co kéo và hạn chế tiến triển của gai xương.
Sử dụng giày dép và miếng lót gót chân phù hợp
- Ưu tiên giày có đế mềm, đàn hồi tốt, nâng đỡ được phần vòm bàn chân và gót chân.
- Miếng lót gót chân (heel cup, đế silicon) giúp giảm lực tỳ trực tiếp lên vùng có gai xương, hỗ trợ giảm đau khi đi lại.
- Không nên đi chân đất hoặc mang giày dép mòn, quá cũ.

Điều trị bằng thuốc
- Thuốc giảm đau (paracetamol), thuốc chống viêm không steroid (NSAIDs) như ibuprofen, diclofenac… có thể được chỉ định khi đau nhiều.
- Không tự ý dùng thuốc kéo dài, cần tuân thủ liều lượng và chỉ dẫn của bác sĩ để tránh tác dụng phụ trên tiêu hóa, gan, thận.
Vật lý trị liệu
- Siêu âm trị liệu, sóng xung kích, laser công suất thấp là những phương pháp hiện đại giúp giảm viêm, giảm đau và kích thích phục hồi mô mềm quanh gai xương.
- Lộ trình điều trị có thể kéo dài 1–2 tuần tùy mức độ tổn thương.
Tiêm thuốc và các phương pháp can thiệp khác
- Tiêm corticosteroid tại chỗ chỉ thực hiện khi đau quá nặng, không đáp ứng với điều trị thông thường.
- Việc tiêm phải do bác sĩ chuyên khoa chỉ định và thực hiện, tránh lạm dụng vì nguy cơ teo mỡ, thoái hóa mô quanh chỗ tiêm.

Phẫu thuật gai gót chân
- Rất hiếm khi cần phẫu thuật, chỉ cân nhắc khi tất cả các biện pháp trên đều không mang lại hiệu quả sau 6–12 tháng, hoặc gai quá lớn gây đau liên tục, ảnh hưởng nghiêm trọng đến chất lượng sống.
- Tỷ lệ phải mổ rất thấp, đa số bệnh nhân đáp ứng tốt với điều trị bảo tồn.
Cách phòng ngừa gai gót chân tái phát
- Kiểm soát cân nặng hợp lý: Duy trì cân nặng ổn định giúp giảm áp lực lên gót chân và hạn chế tổn thương cân gan chân.
- Chọn giày dép phù hợp: Nên mang giày đế mềm, có đệm nâng đỡ vòm bàn chân; tránh đi chân đất hoặc giày dép quá cứng, đã mòn, biến dạng.
- Tập các bài giãn cân gan bàn chân và gân Achilles: Thực hiện đều đặn mỗi ngày để tăng độ linh hoạt, giảm căng kéo và phòng ngừa tổn thương tái phát.
- Tránh đứng lâu, vận động quá sức: Nếu phải đứng lâu hoặc vận động nhiều, nên xen kẽ nghỉ ngơi, thay đổi tư thế và tăng cường vận động từ từ để cơ thể thích nghi.
- Theo dõi và chăm sóc bàn chân: Chú ý các dấu hiệu đau, căng tức bất thường để điều chỉnh thói quen sớm và đi khám khi cần thiết.
Kết luận
Gai gót chân là tình trạng lành tính, không nguy hiểm nếu phát hiện sớm và điều trị đúng cách. Nghỉ ngơi hợp lý, tập giãn cân gan chân, điều chỉnh thói quen sinh hoạt và lựa chọn giày dép phù hợp là những giải pháp hiệu quả giúp giảm đau, cải thiện chất lượng sống mà không cần phẫu thuật. Khi đau kéo dài hoặc nghi ngờ các dấu hiệu bất thường, người bệnh nên chủ động đi khám chuyên khoa để được chẩn đoán và hướng dẫn điều trị kịp thời.



