
Gai gót chân là một trong những nguyên nhân phổ biến khiến nhiều người cảm thấy đau nhức, khó chịu khi đi lại, nhất là vào buổi sáng hoặc sau khi đứng lâu, đi bộ nhiều. Không ít bệnh nhân băn khoăn: “Gai gót chân có nên đi bộ không?”. Liệu đi bộ có làm bệnh nặng thêm, hay ngược lại, vận động đúng cách lại giúp cải thiện tình trạng này? Bài viết sau sẽ giúp bạn hiểu rõ hơn về vấn đề này dưới góc nhìn chuyên khoa xương khớp.
Gai gót chân là gì? Vì sao đi bộ dễ gây đau?
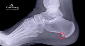
Gai gót chân là tình trạng hình thành gai xương nhỏ ở mặt dưới xương gót, thường gặp nhất ở những người trung niên, người hay đi lại nhiều hoặc thừa cân. Nguyên nhân chủ yếu là do quá trình viêm, tổn thương kéo dài của cân gan bàn chân – lớp mô dày nối từ gót đến các ngón chân, đóng vai trò như một “dây đàn” giúp nâng đỡ vòm bàn chân.
Khi chịu áp lực lớn trong thời gian dài (đi bộ nhiều, đứng lâu, tăng cân…), cân gan bàn chân bị kéo căng, viêm mạn tính và dần dần hình thành một gai xương nhỏ tại điểm bám vào xương gót. Gai xương này không tự gây đau, nhưng vùng viêm quanh gai lại vô cùng nhạy cảm. Đặc biệt, mỗi khi đi bộ hoặc đứng lâu, vùng gót phải chịu toàn bộ trọng lượng cơ thể, làm cơn đau tăng rõ rệt, nhất là lúc mới bước xuống giường vào buổi sáng.
Gai gót chân có nên đi bộ không?
Đây là câu hỏi thường gặp nhất ở bệnh nhân. Thực tế, người bị gai gót chân vẫn có thể đi bộ, nhưng cần lưu ý những nguyên tắc quan trọng. Việc đi bộ đúng cách, đúng thời điểm không chỉ giúp duy trì vận động, hạn chế teo cơ mà còn hỗ trợ lưu thông máu, giảm nguy cơ cứng khớp. Tuy nhiên, nếu đi bộ quá sức hoặc sai cách, có thể làm vùng viêm nặng thêm, kéo dài thời gian hồi phục, thậm chí chuyển sang mạn tính khó điều trị hơn.
Chìa khóa nằm ở việc lắng nghe cơ thể, xác định đúng giai đoạn và mức độ đau để điều chỉnh vận động hợp lý.

Khi nào người bị gai gót chân NÊN đi bộ?
- Giai đoạn đau nhẹ, không có dấu hiệu viêm cấp: Nếu chỉ đau âm ỉ, không sưng nóng đỏ, không nhói buốt khi đặt chân xuống, bạn vẫn có thể đi bộ nhẹ nhàng với quãng đường ngắn, tốc độ chậm.
- Sau giai đoạn điều trị ổn định: Khi triệu chứng đã cải thiện rõ rệt, bác sĩ thường khuyến khích duy trì đi bộ hợp lý để phục hồi chức năng bàn chân, ngăn ngừa teo cơ, giúp các mô mềm quanh gót đàn hồi tốt hơn.
- Duy trì sức khỏe tổng thể: Đi bộ nhẹ giúp tăng tuần hoàn máu, nâng cao sức khỏe tim mạch, kiểm soát cân nặng – yếu tố rất quan trọng giúp giảm áp lực lên bàn chân về lâu dài.
Khi nào KHÔNG nên đi bộ?
- Giai đoạn viêm cấp: Nếu gót chân đang sưng nóng, đau nhói dữ dội mỗi khi đặt chân xuống sàn, đi bộ lúc này sẽ làm tình trạng viêm trầm trọng hơn.
- Đau tăng nhiều sau khi đi bộ: Nếu sau vận động, triệu chứng đau kéo dài hoặc tăng lên rõ rệt, bạn nên tạm ngưng đi bộ và nghỉ ngơi.
- Có dấu hiệu bất thường: Như sưng nề, tím tái, không thể chống chân, cơn đau lan rộng hoặc xuất hiện các biểu hiện bất thường khác, cần dừng vận động ngay và tham khảo ý kiến bác sĩ.
Hướng dẫn đi bộ đúng cách cho người bị gai gót chân
Chọn giày dép phù hợp
- Đế mềm, có đệm gót: Hạn chế lực tác động trực tiếp lên vùng gót bị đau.
- Giày nâng đỡ vòm bàn chân: Giúp phân tán đều trọng lực, giảm áp lực lên cân gan bàn chân.
- Tránh giày dép mòn, dép tông, dép đế cứng: Những loại này khiến áp lực dồn toàn bộ lên gót, làm tăng nguy cơ đau và tổn thương.
Cách đi bộ an toàn
- Bước ngắn, tốc độ chậm: Giảm tải trọng cho gót chân ở mỗi bước đi.
- Đi trên mặt phẳng, hạn chế leo dốc hoặc bề mặt gồ ghề.
- Tuyệt đối không đi chân trần, nhất là trên nền cứng hoặc lạnh.
Thời gian và tần suất đi bộ
- Chỉ nên đi bộ 10–15 phút/lần, nghỉ ngơi xen kẽ nếu cảm thấy mỏi hoặc đau nhẹ.
- Không cố gắng đạt mục tiêu số bước mỗi ngày nếu đang đau.
- Ngay khi cảm nhận đau tăng, hãy dừng lại để nghỉ ngơi hoặc chuyển sang các bài tập khác nhẹ nhàng hơn.

Đi bộ có giúp hết gai gót chân không?
Đi bộ đúng cách không thể làm mất hoàn toàn gai xương gót chân, bởi đây là tổn thương dạng xương – mô mềm quanh đó mới là nguyên nhân gây đau chính. Tuy nhiên, đi bộ hợp lý giúp duy trì vận động, phòng tránh cứng khớp, giảm nguy cơ teo cơ bàn chân. Để điều trị triệt để gai gót chân, cần phối hợp nhiều biện pháp khác như:
- Nghỉ ngơi, giảm áp lực lên chân khi đau cấp
- Chườm lạnh, vật lý trị liệu
- Tập giãn cân gan bàn chân, gân Achilles
- Sử dụng đế giày y tế hoặc miếng lót gót
- Điều trị bằng thuốc (giảm đau, chống viêm, nếu cần)
- Phẫu thuật chỉ trong trường hợp rất hiếm, khi các biện pháp trên không hiệu quả

Nên thay thế đi bộ bằng hoạt động nào khi bị đau gót chân?
Trong những ngày đau nhiều, người bệnh nên ưu tiên các hình thức vận động không chịu tải lên gót chân, ví dụ:
- Bài tập giãn cân gan bàn chân, gân Achilles: Có thể thực hiện tại nhà, giúp giảm co kéo, cải thiện linh hoạt mô mềm quanh gót.
- Đạp xe nhẹ nhàng: Tăng cường tuần hoàn mà không dồn áp lực lên gót.
- Bơi lội: Lý tưởng để giữ vận động toàn thân mà hoàn toàn không gây áp lực cho bàn chân.
- Các bài tập kéo giãn cơ bàn chân, bắp chân: Giúp phục hồi chức năng, phòng ngừa tái phát.
Lưu ý quan trọng để tránh làm gai gót chân nặng hơn
- Kiểm soát cân nặng: Càng thừa cân, áp lực lên bàn chân càng lớn, dễ tái phát đau gót.
- Không cố chịu đau: Tuyệt đối không gắng sức đi bộ khi đau nhiều, tránh biến chứng mạn tính.
- Nghỉ ngơi hợp lý: Kết hợp nghỉ – vận động – tập phục hồi linh hoạt tùy vào triệu chứng.
- Theo dõi triệu chứng: Ghi nhận mức độ đau, thời gian đau và các dấu hiệu bất thường để trao đổi với bác sĩ khi cần thiết.
Kết luận
Tóm lại, người bị gai gót chân vẫn có thể đi bộ, nhưng cần điều chỉnh vận động hợp lý, lựa chọn giày dép phù hợp và luôn lắng nghe cơ thể. Không nên cố gắng chịu đau để vận động, vì có thể làm bệnh nặng hơn. Khi đau kéo dài, cần sớm thăm khám chuyên khoa để được tư vấn và điều trị đúng cách.
Phòng khám Xương Khớp Cao Khang luôn đồng hành cùng bạn trong hành trình bảo vệ sức khỏe xương khớp, mang lại chất lượng sống tốt nhất!



